Статья: ОСОБЕННОСТИ УЛЬТРАСТРУКТУРЫ МЕЗОНЕФРОСА ПРЕДСТАВИТЕЛЕЙ ОТРЯДА СОМООБРАЗНЫЕ (SILURIFORMES) РАЗНЫХ КЛИМАТИЧЕСКИХ ПОЯСОВ (2025)

Читать онлайн

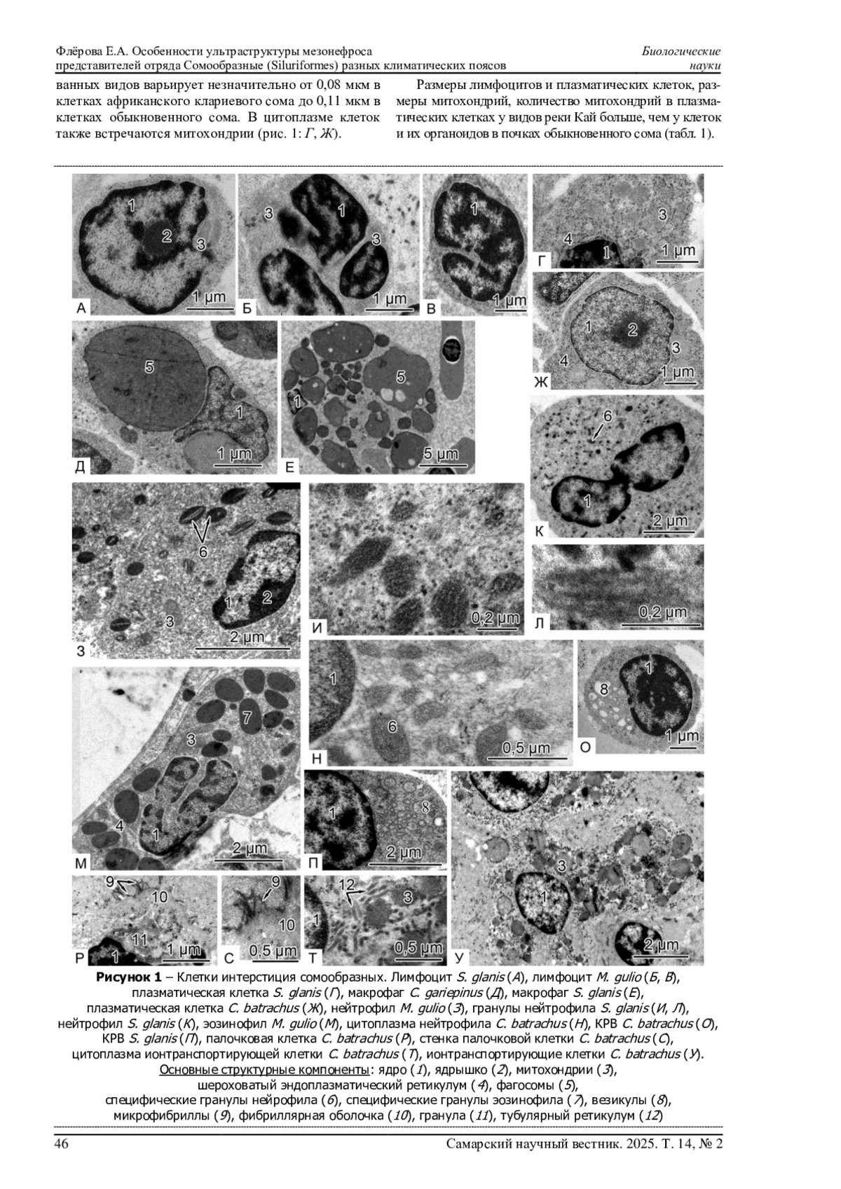
В данной статье рассматриваются особенности ультраструктуры клеток интерстиция и структурных единиц нефрона мезонефроса представителей отряда Siluriformes, обитающих в субэкваториальном и умеренном климатических поясах. Объектом исследования послужили 4 вида сомообразных: донный вид - Silurus glanis, обитатель Рыбинского водохранилища, расположенного в европейской части России; донные виды Clarias batrachus, Clarias gariepinus и донно-пелагичекий вид Mystus gulio - обитатели реки Кай южного Вьетнама. Показано, что ультраструктура клеток интерстиция Siluriformes подобна таковым пресноводных костистых рыб отрядов Cypriniformes и Perciformes. Нейтрофилы сомообразных, по структурным признакам вторичных гранул, схожи с окунеобразными. Обнаружено сходство ультраструктуры нефрона сомообразных с нефроном лососеобразных по наличию шеечного отдела в проксимальных канальцах нефрона. Наличие в зоне эндоцитоза хорошо развитого тубулярного ретикулума, образующего петли, характеризует тип питания исследуемых видов. Ультраструктура мезонефроса сомообразных субэкваториального пояса отличается от таковой у S. glanis умеренного пояса морфометрическими характеристиками лейкоцитов, ионтранспортирующих клеток, структурных единиц почечных телец и канальцев нефрона. Эти морфологические признаки отражают различия в интенсивности водного обмена в организме и являются адаптацией к обитанию в условиях среднегодовых высоких температур.

Ключевые фразы: сомообразные, siluriformes, ультраструктура мезонефроса рыб, лейкоциты, ионтранспортирующие клетки, клетки с радиально расположенными везикулами, палочковые клетки, нефрон рыб, температурные адаптации
Автор (ы): Флёрова Екатерина Александровна
Журнал: САМАРСКИЙ НАУЧНЫЙ ВЕСТНИК

Предпросмотр статьи

Идентификаторы и классификаторы

SCI
Биология
УДК
591.461.2. Почки позвоночных животных. Предпочка. Первичная почка. Вторичная почка
Для цитирования:
ФЛЁРОВА Е. А. ОСОБЕННОСТИ УЛЬТРАСТРУКТУРЫ МЕЗОНЕФРОСА ПРЕДСТАВИТЕЛЕЙ ОТРЯДА СОМООБРАЗНЫЕ (SILURIFORMES) РАЗНЫХ КЛИМАТИЧЕСКИХ ПОЯСОВ // САМАРСКИЙ НАУЧНЫЙ ВЕСТНИК. 2025. ТОМ 14, № 2
Текстовый фрагмент статьи